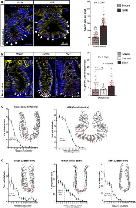
Pdf Adult Stem Cell Activity In Naked Mole Rats For Long Term Tissue Maintenance Check For Updates

Related :